COVID-19 and Diverticulitis: Exploring a Complex Connection
Table of Contents
A recent case study raises questions about the potential link between COVID-19 infection and the exacerbation of sigmoid diverticulitis, prompting medical professionals to consider whether the virus could directly contribute to diverticular inflammation or if the co-occurrence is merely incidental. The findings, published in Cureus, detail a patient whose diverticulitis flared up concurrently with a COVID-19 diagnosis, leading researchers to investigate the possibility of a “viral diverticulitis.”
The case, observed on February 28, 2023, involved a 68-year-old male with a history of sigmoid diverticulitis who presented with abdominal pain, fever, and leukocytosis. Initial assessment revealed a positive COVID-19 PCR test. This confluence of events sparked a debate among clinicians regarding the underlying cause of the patient’s worsening condition.
Diverticulitis and COVID-19: A Rare but Notable Overlap
Sigmoid diverticulitis occurs when small pouches, called diverticula, form in the wall of the sigmoid colon and become inflamed or infected. While typically managed with antibiotics and dietary modifications, the case study highlights a scenario where the presence of COVID-19 complicated the clinical picture. According to the report, the patient’s symptoms were initially attributed solely to a diverticulitis flare-up. However, the concurrent COVID-19 infection prompted consideration of a more complex interplay.
The researchers explored several hypotheses. One possibility was that the SARS-CoV-2 virus directly induced inflammation in the colonic wall, triggering or worsening the diverticulitis. Another theory suggested that COVID-19-related immune dysregulation could have contributed to the inflammatory process. A third, and perhaps most conservative, viewpoint posited that the two conditions were simply occurring simultaneously, without a causal relationship.
Investigating the Potential Mechanisms
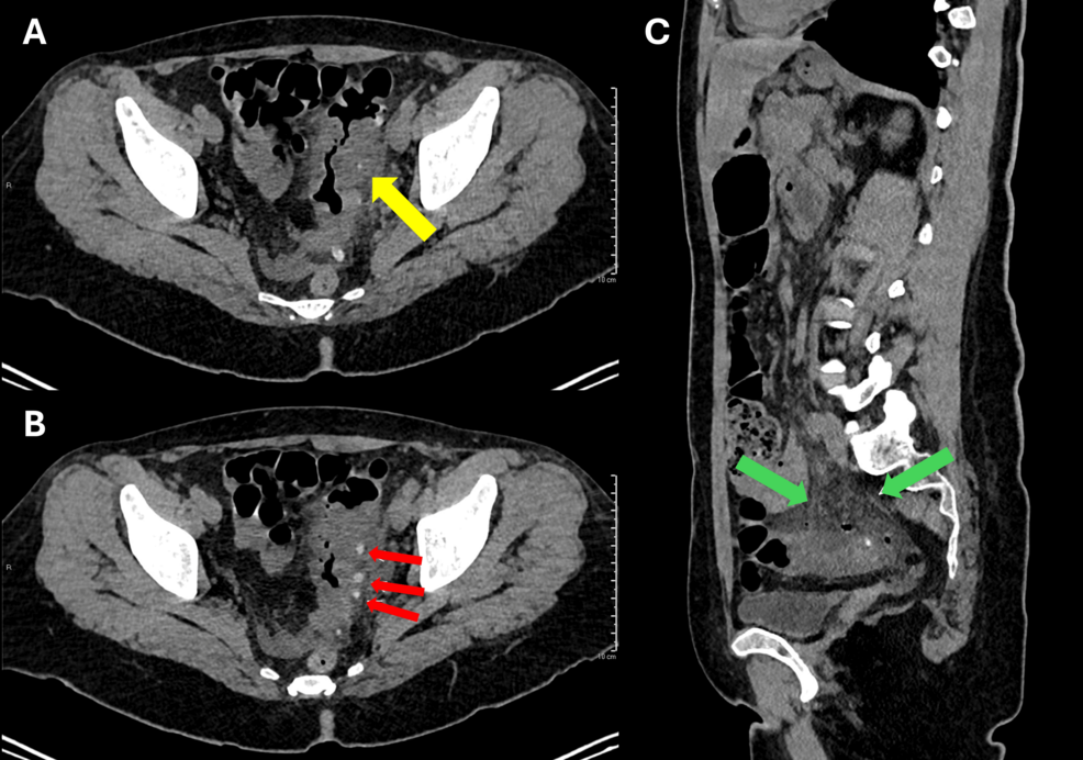
The medical team conducted a thorough evaluation, including a CT scan, which revealed thickening of the sigmoid colon wall and surrounding inflammation consistent with diverticulitis. Laboratory tests confirmed elevated inflammatory markers, further supporting the diagnosis. The patient was treated with intravenous antibiotics and supportive care.
“The inflammatory response triggered by COVID-19 could potentially compromise the gut barrier and increase susceptibility to diverticular inflammation,” one clinician noted in the case report. This suggests a possible mechanism by which the virus could indirectly contribute to the condition. However, the researchers emphasized the need for further investigation to establish a definitive link.
Treatment and Patient Outcome
The patient responded well to treatment, with a gradual resolution of symptoms and improvement in laboratory values. He was discharged home on oral antibiotics and advised to follow a low-fiber diet. Follow-up assessments indicated a sustained improvement in his condition.
The case report underscores the importance of considering COVID-19 as a potential contributing factor in patients presenting with acute diverticulitis, particularly during periods of high viral transmission. It also highlights the need for a comprehensive diagnostic approach to differentiate between a simple diverticulitis flare-up and a more complex scenario involving viral-induced inflammation.
Implications for Future Research
This single case study, while not conclusive, serves as a valuable starting point for future research. Larger-scale studies are needed to determine the true prevalence of COVID-19 and diverticulitis co-occurrence and to elucidate the underlying mechanisms involved. . Further investigation could focus on identifying specific viral factors that may contribute to colonic inflammation and on developing targeted therapies to mitigate the risk of diverticulitis in COVID-19 patients. The findings emphasize the ongoing need to understand the multifaceted effects of COVID-19 on various organ systems and to refine clinical management strategies accordingly.
